Improving the Quality and Efficiency of Life Science Research and Drug Discovery The New SLIDEVIEW VS200 Research Slide Scanner OffersEasy-to-Operate High-Resolution Data Acquisition
October 31, 2019

SLIDEVIEW VS200 Research Slide Scanner
Olympus Corporation (President: Yasuo Takeuchi) announces the launch of the SLIDEVIEW VS200 solution, a research slide scanner that captures high-quality virtual slide images and enables advanced quantitative image analysis for brain, cancer and stem cell research, as well as drug discovery. Reliable virtual slide data can be acquired with as few as two clicks. Offering high versatility, the SLIDEVIEW VS200 slide scanner supports five observation methods and a wide range of sample sizes for use in various applications. Its automatic slide loader accommodates a large number of slide glasses, helping increase experiment efficiency.
The SLIDEVIEW VS200 slide scanner converts high-resolution images into virtual slides through a fully automated high-speed scanning and tiling process. This advanced image processing enables smooth zooming in and out from an image of an entire tissue sample to single cells.
The new optical system specially designed for the VS200 slide scanner is combined with Olympus’ high-performance X Line objectives to offer improved resolution, flatness and chromatic aberration correction compared to the previous model. In addition to brightfield and fluorescence, three new observation methods—darkfield, phase contrast and polarized light observation—are available on the SLIDEVIEW VS200 slide scanner. The methods can be combined, so even unstained samples that are difficult to visualize using brightfield illumination can be clearly observed.
In addition to improved image quality, researchers will appreciate the scanner’s flexible compatibility with a large range of slide sizes. Whole specimens can be scanned as a single piece of data since the system accommodates large slides, eliminating the need to divide and separate the sample. Scan parameters can also be stored and recalled later, enabling users to acquire high-resolution data with only two clicks—a simple operation that helps improve and standardize the workflow. Owing to the flexibility offered by the scanner’s five observation methods and increased sample capacity, the SLIDEVIEW VS200 slide scanner can be applied to a broader range of research applications.
Main Features
- Excellent Image Quality for Quantification
- Multiple Observation Methods and Various Slide Sizes
- Simple Two-Click Operation and Automatic Slide Loader
Details on the Main Features
1. Excellent Image Quality for Quantification
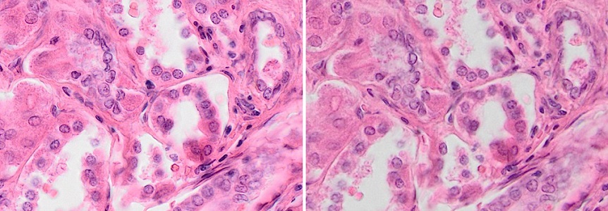
The SLIDEVIEW VS200 slide scanner provides researchers with reliable and quantitative data. It acquires images with high resolution and flatness and chromatic aberration correction thanks to Olympus’ high-performance X Line objectives and its specially designed light path. The VS200 scanner helps researchers obtain an accurate picture of the extent to which specific proteins are distributed in a tissue and how multiple types of proteins interact. Cancer researchers can clearly observe the color of tissues and changes in the morphology of cells, which are important evaluation factors.
Image comparison
Left: VS200 Research Slide Scanner,Right: Conventional model
2. Multiple Observation Methods and Various Slide Sizes
This system offers users the choice of five imaging modes, not only brightfield and fluorescence but also darkfield, phase contrast, and simple polarization. These observation methods can be combined, so users can observe structures that are only visible under certain conditions. When applied to drug discovery research, the slide scanner makes it possible to observe clear samples such as collagen fibers, which are difficult to visualize using brightfield observation. 26 × 76 mm (1 × 3 in.), 52 × 76 mm (2 × 3 in.), 76 × 102 mm (3 × 4 in.) and 102 × 127 mm (4 × 5 in.) slides are supported by the scanner. For brain and neuroscience researchers studying large tissue samples, the VS200 scanner’s flexible slide capacity enables them to view the distribution of a particular protein in an entire brain or other large tissue specimens in one image.
5 observation methods
Testis in Paramount, non-stained, captured with a 20X objective.
Image data courtesy of Robin Wacker, Günthersleben, Germany
Supports single glass slides up to glass plates
3. Simple Two-Click Operation and Automatic Slide Loader
The intuitive user interface and robust data management system streamline the workflow so users can easily scan, save, access and share slides.Using previously stored scan conditions, users can easily acquire high-resolution data with a few as two clicks. The automatic slide loader loads and unloads up to 35 samples trays holding as many as 210 slides, while sensors detect the number and sizes and a barcode reader captures slide information.
The fast scanning capability of the SLIDEVIEW VS200 increases the efficiency of scientific research. Experiment workflows can be standardized and streamlined through its robust data management system, intuitive user interface and simple operation.
The loader holds up to 210 26 × 76 mm (1 × 3 in.) slides
For more information
Press releases are company announcements that are directed at the news media.
Information posted on this site is current and accurate only at the time of their original publication date, and may now be outdated or inaccurate.

