High-Performance X Line Objectives Break Optical Barriers with Simultaneously Improved Flatness, Chromatic Aberration Correction and Numerical Aperture The world’s first plan apochromat objectives with a 1.5 numerical aperture were launched concurrently
June 19, 2019

X Line high-performance objective series

UPLAPO-HR high-resolution objectives for super resolution and TIRF
Olympus Corporation (President: Yasuo Takeuchi) is pleased to announce the global launch of new high-performance X Line objectives with improved optical performance in three areas—numerical aperture (NA), flatness and chromatic aberration correction— to enhance the reliability and efficiency of life sciences research. Using the same innovative manufacturing process behind X Line objectives, Olympus is also proud to introduce the UPLAPO-HR objectives, the world’s first plan apochromat objectives with an NA of 1.51 for TIRF2 and super resolution imaging.
Objective lenses are crucial in determining a microscope’s performance. Leveraging 100 years of experience building advanced optics, Olympus developed a new polishing technology that makes it possible to create lenses with shapes that are difficult to fabricate using conventional methods. This is the core technology behind our new X Line series and the UPLAPO-HR objectives.
X Line objectives offer improved numerical aperture, chromatic aberration correction and image flatness for bright, high-quality images throughout the field of view. These benefits contribute to improved quantitative data acquisition, such as cell counting and understanding the distribution of protein in cells. In pathology research, where observing stained tissues is common, accurate color reproduction helps improve image reliability. Since high-quality images can be obtained in the entire field of view, fewer images are needed to create a stitched image of a whole tissue, helping speed up the research process.
With the X Line series, Olympus also launched the UPLAPO-HR super resolution and TIRF objectives that use the same lens polishing technology. They are the first plan apochromat objectives in the world to achieve an NA of 1.5, enabling bright, high-resolution observations with weak excitation light.
Main features of the X Line high-performance objective series
- A maximum NA of 1.45 provides bright, high-resolution images.
- Improved flatness creates an observable area3 of 1.7 times the conventional value, which can be observed with high resolution.
- Accurate multicolor fluorescence observation and highly reproducible observation of stained tissue specimens are achieved by correcting chromatic aberrations in a broad wavelength range of 400–1000 nm.
Main features of the UPLAPO-HR super resolution and TIRF objectives
- With a high numerical aperture of 1.5 and improved image flatness, users can obtain high-resolution images.
Detail of the main features of the X Line high-performance objective series
X Line objectives provide improved NA, flatness and chromatic aberration corrections for high-resolution images in the entire field of view. In microscopy systems equipped with X Line objectives, the high NA enables bright, high-resolution observations with weak excitation light, minimizing fluorescence fading and phototoxicity during long-term, live-cell imaging.
Comparative imaging of NG108-15 cells by fluorescent microscopy.(Left: conventional 20x objective, right: 20x X Line objective)
Thanks to the X Line objectives’ improved flatness, it is possible to perform high-resolution observation without blurring in a region of 1.7 times the conventional value. When a large area image is acquired using stitching, the number of images required can be significantly reduced, improving the efficiency of research.
By correcting chromatic aberrations in a broad wavelength range from violet to near-infrared (400–1000 nm), users can accurately capture the positional relationship in the depth (Z) direction in multicolor fluorescence observation with an excitation wavelength of 405 nm, which was previously very difficult to accomplish.
Comparative imaging of chromosome detection in a HeLa cell nucleus by confocal laser microscopy.(Left: conventional 60x objective, right: X Line 60x objective)
With the X Line objective, chromosomes have been correctly detected in the nucleus. Cyan, cell nucleus; green, chromosome 17 centromere; red, chromosome 18 centromere
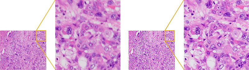
It is also possible to observe stained tissue with good color reproducibility in pathology research.
Comparative brightfield image of HE-stained tissue specimens.(Left: conventional 20x objective, right: X Line 20x objective)
Detail of the main features of the UPLAPO-HR high-resolution objectives for super resolution and TIRF
The UPLAPO-HR objectives offer improved flatness and are the first plan apochromat objectives to achieve a numerical aperture of 1.5. Users can identify an object of interest using a wider field of view thanks to the objective’s flatness and then smoothly resolve down using super resolution.
Comparative confocal mode images of nuclear pore complex using the SprinSR10 Spinning Disk Confocal Super Resolution Microscope (Left: conventional 60x objective, right: 60x UPLAPO-HR objective)
1 The world’s first plan apochromat objective to achieve an NA of 1.5 using standard liquid immersion oils (ne=1.518) for immersion; As of November 2018, confirmed by an Olympus internal study.
2 Total internal reflection fluorescence observation. By totally reflecting the excitation light on the coverslip surface, the molecules on the coverslip surface can be observed using fluorescence on a molecular basis.
3 Mean values for the X Line series.
For more information
Press releases are company announcements that are directed at the news media.
Information posted on this site is current and accurate only at the time of their original publication date, and may now be outdated or inaccurate.

